Diferencia entre TAC cardíaca y Resonancia magnética al corazón


La tomografía computarizada y la resonancia magnética son técnicas de imágenes diferentes, que con los progresos tecnológicos tienen primer lugar en la evaluación cardíaca. La gran diferencia consiste en el uso de la radiación en el caso de TAC y en el uso de las ondas de radiofrecuencia en el caso de una resonancia magnética.

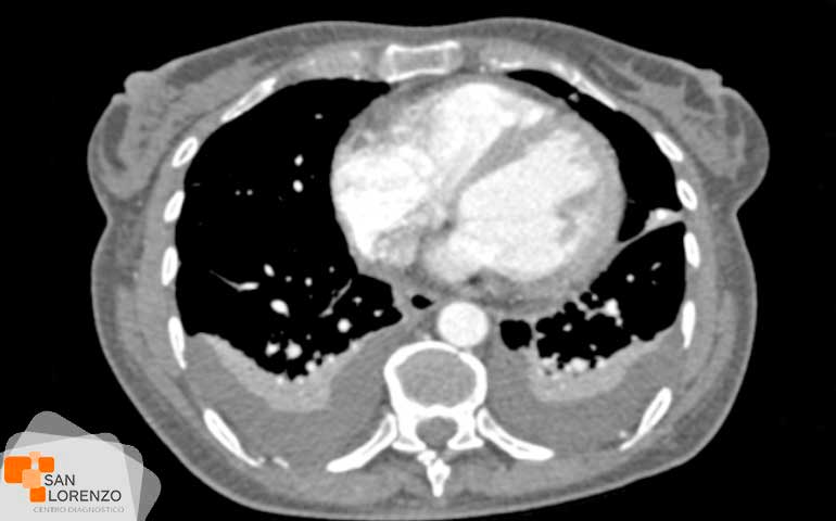
¿Qué es TAC cardíaca?

La tomografía computarizada o según sus siglas TAC o escáner, es un examen médico que se basa en la radiología entendiéndola como la emisión de rayos X para captar imágenes del cuerpo u órgano en diferentes planos. Entre sus aplicaciones diagnósticas al corazón, el cardio TAC o escáner al corazón, es un examen que utilizando un equipo y un sistema especial de rayos X, permite sacar diferentes imágenes de las arterias coronarias, detectando si están bloqueadas o angostadas por la acumulación de placa (un índice de aterosclerosis o enfermedad de las arterias coronarias). En el caso del examen score total de calcio coronario por tomografía computarizada (scanner) como también se le conoce comúnmente, permite no solamente cuantificar el calcio coronario. También permite entregar información valiosa sobre los vasos sanguíneos en el caso de la angiotomografía.

Diferencias-entre-R.M1.5T-y-R.M3T

Las imágenes transversales que se pueden lograr durante el procedimiento de una TAC cardíaca, permite hoy en día lograr hoy en día diferentes planos, incluso imágenes tridimensionales. En el caso de la angiotomografía, y utilizando la misma tecnología diagnóstica operada por nuestro equipo clínico y médicos especialistas de centro de diagnóstico San Lorenzo. Permite que este procedimiento sea una opción valiosa desde el punto de vista de la información que puede ofrecer, pues utilizando un tinte especial o material de contraste, ofrece información sobre la forma en que fluye la sangre a través de las arterias, detalles de los vasos sanguíneos, y si existen obstrucciones en el flujo de sangre que va hacia el corazón.

En resumen, cabe decir que el examen de TAC cardíaca para la cuantificación de calcio coronario o angiografía coronaria por tomografía computarizada, es una técnica no invasiva que muestra la información importante de patologías de las arterias coronarias, sobre todo considerando que el calcio es buen marcador de enfermedades de acumulación de placa, y que dependiendo la cantidad presente, es un instrumento útil para pronosticar estas enfermedades relacionadas con la enfermedad de arterias coronarias (EAC).

¿Qué es Resonancia magnética cardíaca?

La resonancia magnética cardíaca (RMC) es una técnica de imagen para el estudio del corazón que utiliza ondas de radio potentes para crear imágenes de la estructura interna y alrededor del corazón a través de imágenes de alta resolución, y en centro de diagnóstico San Lorenzo, hacemos posible que en un solo examen podamos obtener información sobre la función y estructuras detalladas del corazón donde están incluidas las cavidades y las válvulas. Gracias a este tipo de examen hoy disponible en Rancagua y región de O’Higgins, podemos obtener imágenes en cualquier plano con alta calidad o definición de imagen, sin la necesidad de viajar a Santiago y con la posibilidad de realizarlo este procedimiento sin ningún tipo de contraste intravenoso.

La resonancia magnética cardíaca, se utiliza para que médicos tratantes puedan determinar la función de cardiopatías congénitas, anomalías de las coronarias, estudios del músculo cardiaco, estudios de función ventricular, estudios de las enfermedades del músculo cardiaco, de la capa de tejido que recubre corazón y masas cardiacas por mencionar algunos.

Las diferencias y similitudes entre TAC y resonancia magnética cardíaca

La tomografía computarizada y la resonancia magnética son técnicas de imágenes diferentes, que con los progresos tecnológicos tienen primer lugar en la evaluación cardíaca. La gran diferencia consiste en el uso de la radiación en el caso de TAC y en el uso de las ondas de radiofrecuencia en el caso de una resonancia magnética. El escáner o TAC cardíaco, es muy útil a para la evaluación de las finas y tortuosas coronarias dado que tiene una alta resolución espacial. En cambio, la resonancia magnética al corazón, tiene una alta resolución temporal y de contraste, por lo que es buena para la evaluación de función cardíaca y en la identificación de tejidos.

En resultado la TAC y la resonancia magnética, son métodos en los que se pueden aprovechar diferentes y distintas ventajas, por lo tanto, depende de la patología cardíaca que su médico especialista desea estudiar o buscar en el órgano, según patología que se busca identificar en el proceso diagnóstico o sobre la que se tiene sospecha.


Diferencias-entre-R.M1.5T-y-R.M3T

La resonancia magnética cardíaca se utiliza para determinar la función de cardiopatías congénitas, las anomalías de las coronarias, estudios del músculo cardiaco, estudios de función ventricular, estudios de las enfermedades del músculo cardiaco, de la capa de tejido que recubre corazón y masas cardíacas.

Si desea saber más información sobre estos dos tipos de procedimiento (TAC o RM 3 Teslas) realiza tus consultas de lunes a sábado en nuestros formularios de atención o visítanos en calle Astorga 58 en Rancagua.

Centro de diagnóstico San Lorenzo, exámenes de imagenología médica y tecnología única en la región para diagnósticos complejos

Reserva telefónica 72 297 7100