• Resonancia magnética 3 teslas
  • Resonancia magnética 3 teslas
  • Nuevo resonador magnético 3 teslas
  • Examenes resonancia magnética en Rancagua
  • Resonancia magnética 3 teslas

Primeros y únicos en la zona centro Sur de Chile: Resonancia magnética 3 Teslas


En Rancagua centro de diagnóstico San Lorenzo recibe en sus instalaciones un nuevo resonador de alto campo magnético 3 Teslas.

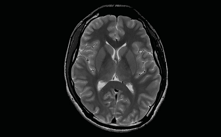
Siendo referentes en tecnología y en otorgar apoyo clínico en diagnósticos a través de imágenes, centro de diagnóstico San Lorenzo recibe en sus instalaciones un nuevo resonador magnético de 3 Teslas, lo que facilitará a médicos especialistas contar con tecnología en imagen médica de alta calidad en la zona centro sur, permitiendo detectar oportunamente enfermedades de alta complejidad, como también la posibilidad de obtener información más exacta sobre diferentes patologías en pacientes que padezcan alguna enfermedad neurológica, cardiológica, vascular, y oncológica entre otras. Este equipo siendo una tecnología 100% digital, busca principalmente apoyar en su labor a médicos especialistas que requieran profundizar sus estudios clínicos y obtener información más certera para abordar casos de mayor complejidad.

Resultado diagnóstico San Lorenzo

El Dr.Milton Quiroz, neuroradiólogo y Director médico de centro diagnóstico San Lorenzo, quién además es uno de los socios fundadores que ha liderado la incorporación de esta tecnología en imagen que por primera vez se encontrará a disposición de la comunidad médica y pacientes de la zona centro sur, explica “Por ahora son pocos los centros de salud que cuentan con esta tecnología, incluso a nivel mundial, para nosotros como centro de diagnóstico incorporar un equipo de estas características en la zona centro sur del país significa contar con tecnología de punta para que toda la comunidad pueda acceder sin exclusiones. Por otro lado, gracias a este tipo de avances ayudará de la mejor manera en el diagnóstico clínico, transformando la región de O'Higgins en un campo atractivo para que médicos especialistas puedan ejercer en la zona sin depender de la ciudad de Santiago y mejorar la calidad de vida de sus pacientes. Hoy podemos decir que Rancagua cuenta con las herramientas y tecnología de muy alto nivel que necesita, fomentando la descentralización y el acceso a exámenes que antes no contábamos”.

  • Resonancia magnética cerebro

Siendo primeros y únicos en traer esta avanzada tecnología en imagenología médica, la llegada de este nuevo resonador magnético de 3 teslas a la región de O'Higgins generará la posibilidad de optar a una amplia opciones de nuevos exámenes sin variar su valor para que pueda acceder la comunidad, permitiendo captar imágenes con mayor resolución anatómica e identificar con mayor detalle el estado de patologías de alta complejidad en pacientes, contribuyendo a médicos a una mejor planificación en los tratamientos futuros que se apliquen según cada caso. Otra de sus características, es que gracias a la amplitud del diámetro del túnel que posee este moderno equipo permitirá el estudio de pacientes obesos, ancianos, embarazadas, y niños. Reduciendo el nivel de estrés y la sensación de claustrofobia para quienes puedan presentar este tipo de síntomas en los procedimientos. Lo que significa mayor seguridad, mejores resultados, y más comodidad al momento de realizar sus exámenes.

En centro de diagnóstico San Lorenzo, somos referentes en apoyo clínico y diagnósticos en imágenes. Para más información, comuníquese con nosotros a la mesa central de información o enviando tus consultas a través de nuestro formulario web.

Reserva telefónica 72 297 7100